Santé publique en alerte: la tuberculose progresse dans plusieurs régions vérifier si votre région est touchée

La santé publique suit de très près une situation qui inquiète depuis plusieurs mois au Québec.
Parce qu’après des années de stabilité, une maladie qu’on croyait bien contrôlée revient dans l’actualité… et les chiffres commencent à parler.
Dans les équipes de santé, on ne veut pas créer de panique inutile.
Mais on ne veut surtout pas laisser la situation s’installer.
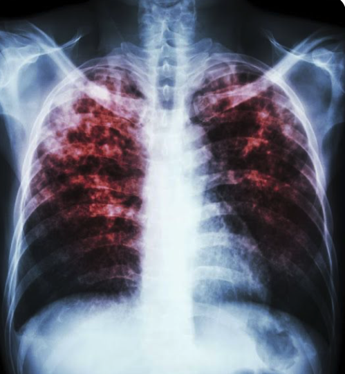
Une hausse qui sort du “normal”
Pendant près de 30 ans, le Québec enregistrait généralement entre 200 et 280 cas de tuberculose par année.
C’était une moyenne connue, relativement stable, qui permettait de garder la maladie sous contrôle.
Or, cette moyenne ne tient plus.
Et c’est là que l’alerte se comprend.
La révélation qui change tout
Pour l’année 2025, 516 cas de tuberculose ont été recensés à l’échelle provinciale.
C’est un niveau jugé élevé par les spécialistes et un écart important par rapport aux décennies récentes.
Deux endroits ressortent particulièrement.
Montréal et le Nunavik sous surveillance


À Montréal, on compte 210 cas, ce qui en fait la région la plus touchée en nombre absolu.
Le Nunavik affiche aussi une situation préoccupante avec 117 cas, malgré une population beaucoup plus restreinte.
Des cas ont également été signalés dans 11 autres régions, ce qui montre une dispersion plus large qu’avant.
Pourquoi certains groupes sont plus à risque
À Montréal, une proportion importante des personnes touchées sont nées à l’extérieur du Canada.
Les autorités précisent que l’infection peut avoir été contractée à l’étranger et demeurer latente pendant plusieurs années avant de se manifester.
Certains groupes demeurent plus vulnérables, notamment les personnes en situation d’itinérance ou vivant en milieux fermés.
Les personnes qui partagent le même logement qu’un individu infecté sont aussi plus exposées.
Comment ça se transmet et quoi retenir

La tuberculose est causée par une bactérie qui se transmet par l’air lors d’expositions prolongées.
Les autorités rappellent qu’un contact bref ne suffit généralement pas à transmettre la maladie.
Le traitement est long et rigoureux, mais il demeure efficace lorsqu’il est suivi adéquatement.
C’est pour ça que la santé publique insiste sur le dépistage et le suivi médical, afin de limiter la propagation.
Une surveillance renforcée, sans dramatiser
Le ministère affirme travailler étroitement avec des partenaires régionaux et fédéraux pour analyser la situation et ajuster les mesures de prévention au besoin.
L’objectif est clair: protéger la population, freiner la circulation de la maladie, et garder le contrôle… sans alimenter la peur.



