Un cerveau réduit à 10 % : le cas fascinant de ce Français qui vivait comme tout le monde

Recré des articles à partir de plusieurs articles said:
Un cerveau réduit à 10 % : le cas incroyable de ce
fonctionnaire français qui vivait
normalement
Par La rédaction
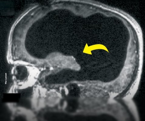
Ce qui ne devait être qu’une simple consultation médicale pour une gêne à la jambe s’est transformé en l’un des cas les plus fascinants de la neurologie moderne. Un fonctionnaire français, sans antécédents particuliers, s’est présenté chez son médecin pour un trouble bénin… avant que les examens ne révèlent quelque chose d’inimaginable : son cerveau n’occupait qu’environ 10 % de la cavité crânienne.
Une découverte stupéfiante
Les scanners ont montré que le reste de son crâne était rempli de liquide céphalo-rachidien, une situation généralement incompatible avec une vie normale. Et pourtant, cet homme menait une existence tout à fait ordinaire : marié, père de deux enfants, et employé de l’administration française.
Les médecins, médusés, ont d’abord pensé à une erreur d’imagerie. Mais après plusieurs vérifications, les résultats se sont confirmés : une atrophie massive du tissu cérébral, sans altération notable des fonctions cognitives.
Comment est-ce possible ?
Ce phénomène extrêmement rare est lié à une hydrocéphalie chronique, une accumulation lente et progressive de liquide dans le crâne. Chez cet homme, le processus s’était étalé sur des décennies, permettant à son cerveau de s’adapter peu à peu à cette pression interne.
Malgré cette réduction spectaculaire, les tests ont montré un quotient intellectuel légèrement inférieur à la moyenne, mais aucune déficience majeure. Il conduisait, travaillait, discutait, riait — bref, il vivait comme tout le monde.
Un mystère pour la science
Ce cas, publié dans la revue The Lancet, continue d’intriguer les chercheurs. Il remet en question une idée centrale de la neurologie : quelle quantité de matière cérébrale est réellement nécessaire pour penser, ressentir et être conscient ?
Pour certains spécialistes, cela prouve que le cerveau possède une plasticité exceptionnelle, capable de redistribuer ses fonctions vitales sur une surface bien plus réduite.
Une leçon d’humilité scientifique
L’histoire de cet homme, discret fonctionnaire du sud de la France, est devenue un exemple marquant dans l’étude du cerveau humain. Elle rappelle à quel point l’esprit et la conscience restent des mystères, même pour la science la plus avancée.
Venu consulter pour une simple gêne à la jambe, il a finalement offert au monde médical une énigme qui défie encore toutes les certitudes sur la nature de l’intelligence et de la vie consciente.



